
Tratament de canal
Pacientul M.A in varsta de 44 ani s-a prezentat la clinica cu o coroana provizorie pe dintele 22 si lipsa coroanei pe dintele 21. S-au refacut tratamentele de canal si lucrare din zirconiu pe dintii respectivi.
Vezi mai mult
Punte
Pacient T.I in varsta de 30 ani s-a prezentat la clinica cu o lucrare mai veche pe dintii 41-43. In urma discutiei cu pacientul, a examenului clinic si radiologic am ajuns de comun acord ca sa executam o lucrare din zirconiu la frontali inferiori.
Vezi mai mult
Punte din Zirconiu
Pacienta C.N in varsta de 50 ani s-a prezentat la clinica fiind nemultumita de aspectul estetic. Pacienta avand anodontie de canin ( 13) si premolarul 2 ( 15) i s-a propus implanturi dar pacienta refuzand implanturile atunci am luat decizia impreuna cu pacienta ca sa facem o punte totala din zirconiu .
Vezi mai mult
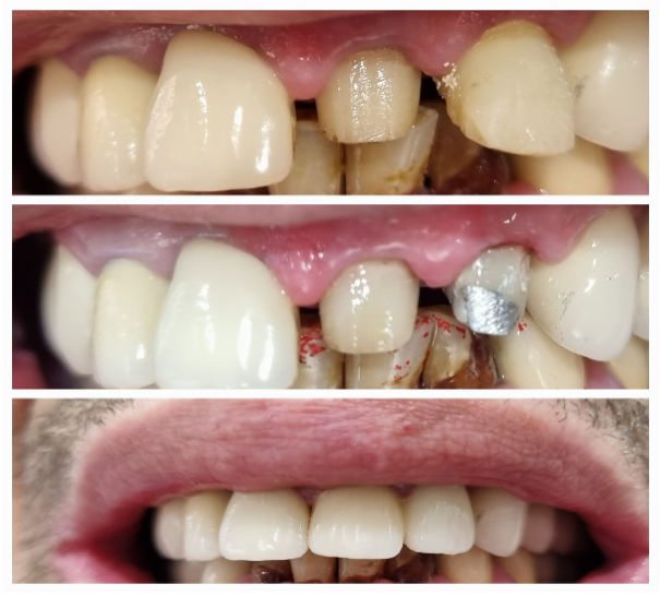
Tratament endodontic
Pacienta C.S s-a prezentat in cabinetul stomatologic fiind nemultumita de aspectul estetic. S-a luat decizia realizarii unei punti totale superioare din zirconiu. Au fost realizate tratamente endodontice, tratamente parodontale, au fost slefuite bonturile si realizata lucrarea. Culoarea acesteia a fost aleasa in concordanta cu cea a dintilor naturali, de pe maxilarul inferior.
Vezi mai mult
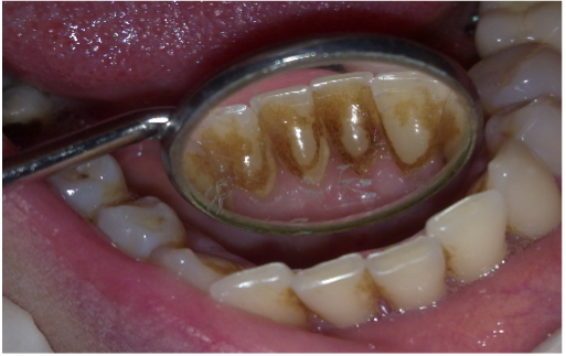
Detartraj ultrasunet & airflow
Pacienta A.F fumatoare s-a prezentat in clinica noastra fiind nemultumita de depozite de tartru de pe dinti.
Vezi mai mult
Igienizare dentara profesionala
Igiena dentara este esentiala pentru a avea o dantura sanatoasa. Medicii stomatologi recomandă ca igiena zilnica să cuprindă cel puțin...
Vezi mai mult